
Skill, Technology, and a little “Magic”
With the wonderful age of dental bonding, teeth can be made healthy and beautiful in most cases without multiple appointments, anesthesia, temporaries and at less expense than crowns.
Magic? Not really.
Bonding techniques have been around for years, and improvements in dental materials have made it one of the most effective and versatile treatments in dentistry.
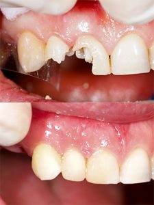
Bonding is a procedure in which a white composite resin is applied to the natural outer surface of the tooth. The tooth is first polished, then “conditioned” by painting a clear solution on the surface. The final composite material sticks to the conditioning solution, and is cured with a high intensity light that hardens the bond in seconds.
Presto, Chango!
Bonding works its real magic repairing chipped teeth and filling diastemas, or spaces between front teeth. We can also change the shape of teeth to make crooked or uneven teeth straighter. And what about color? We can match the color of your existing teeth, or go as bright and dazzling as you wish.
Bonding works best on low-stress areas of the mouth. It’s not a cure-all for every dental problem, but in most cases it can improve your smile in almost no time. Give us a call if you’re interested, chances are we can work some magic on your smile!

