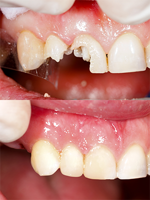
Repair Your Smile with Tooth Colored Fillings!
Tooth Colored Fillings for a Natural Appearance Do you have a cavity, but have always hated the thought of dark, metallic-looking fillings? Or maybe you already have one of these "amalgams" and it's time for a replacement? Well, [...]











